Имплантация зубов в Нижнем Новгороде в рассрочку от 2000 ₽ в месяц

Лечение зубов в#nbsp;Иркутске

Запишитесь на консультацию стоматолога по акции

Нажимая на кнопку, вы даете согласие на обработку персональных данных и соглашаетесь c политикой конфиденциальности
Приходите на консультацию, на которой врач проведёт осмотр, расскажет о состоянии ваших зубов и рассчитает точную стоимость лечения.
Чтобы воспользоваться акцией, укажите ваше имя и телефон в форме ниже. Администратор позвонит вам и подберёт удобное время для консультации.
Стоимость: 0 ₽ 2000 ₽ до конца месяца.
Комплексное лечение за 1 посещение
Специализируемся на лечении зубов более 20 лет
Гарантия на лечение
Лечение без боли с качественной анестезией

В каких случаях нужно обратиться к стоматологу

Специалист соберет анамнез, проведет тщательный осмотр и диагностику, выявит причины заболевания и назначит эффективное лечение.
Боль, зуд, жжение в любой точке полости рта
Изменение цвета эмали одного или нескольких зубов
Изменение цвета десен, слизистых полости рта
Язвы, гнойнички на слизистой
Отечность, кровоточивость десен
Подвижность, шатание зубов
Чувствительность к горячей или холодной пище
Чувствительность к кислой или сладкой пище
Неприятный запах изо рта

Терапевтические услуги

Виды услуг

Лечение кариеса
Состав работ: Устранение микроорганизмов с поверхности зубов, реминерализирующая терапия, выдача рекомендаций по срокам повторного обращения.
Лечение периодонтита
Состав работ: Ликвидация пораженных тканей, установка временной пломбы, пломбирование каналов, установка постоянной пломбы.
Лечения пульпита
Состав работ: Ликвидация тканей, поврежденных кариесом, извлечение пульпы, установка временной пломбы, пломбирование каналов, установка постоянной пломбы.
Лечение каналов зубов
Состав работ: Удаление пульпы, санация корневого канала, формирование канала, пломбирование канала.
Установка пломб
Состав работ: Удаление пораженной кариесом зубной ткани, вычищение зараженной области до здоровой ткани, пломбирование.
Восстановление зубов
Состав работ: Консультация, определение метода лечения, проведение лечения.
Профессиональная гигиена
Состав работ: Процедура комплексной гигиены для очистки поверхности зубов от остатков пищи и мягкого налета
Нажимая на кнопку, вы даете согласие на обработку персональных данных и соглашаетесь c политикой конфиденциальности
Ответьте на вопросы и узнайте стоимость
Заполните поля ниже, чтобы врач подобрал для вас вид и способ лечения и рассчитал ориентировочную стоимость.

Лечение зубов в рассрочку от 2000 ₽ в месяц

Условия рассрочки:
— сроком до 12 месяцев;
— беспроцентная;
— возможны индивидуальные условия.
Наши врачи помогли уже 600 пациентам
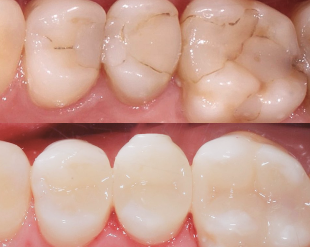
Царев Вячеслав Николаевич — 36 лет
Лечение глубокого кариеса
До
После
Смирнова Екатерина Олеговна — 27 лет
Установка пломб
До
После
Трофимова Анна Андреевна — 41 год
Лечение кариеса в пришеечной области
До
После
Видеоотзывы
Мустафаева Ирина Викторовна
Имплантация зубов
Фролова Галина Николаевна
Имплантация зубов
В нашей клинике всегда чисто и уютно
Врачи клиники
В нашей клинике работают квалифицированные специалисты с опытом работы от 12 лет. Забота, чуткость и профессионализм — на этих принципах строится работа нашего коллектива.
Главный врач, стоматолог-ортопед
Орлов Семён Анатольевич
Хирург-имплантолог
Понш Юлия
Васильевна
Хирург-имплантолог
Евдокимов Олег Владимирович
Стоматолог-ортопед
Михайлов Владислав Евгеньевич
Задайте вопрос
В этой форме вы можете написать любой вопрос, который вас интересует. Мы ответим в течение 5-10 минут.
Нажимая на кнопку, вы даете согласие на обработку персональных данных и соглашаетесь c политикой конфиденциальности
Режим работы
Все страницы
Пн–вс: с 08:00 до 21:00
Телефон для записи
Адрес клиники
г. Иркутск,
ул. Красного Восстания, д. 20
Клиника использует систему менеджмента и качества от консалтинговой компании Demokrat
ООО «БАСТЕТ» ИНН: 3808279976 ОГРН: 1223800022214 КПП: 384901001
Обратный звонок
Заполните поля ниже и наш администратор перезвонит в течение 5 минут, чтобы записать вас на прием и ответить на интересующие вас вопросы.
Нажимая на кнопку, вы даете согласие на обработку персональных данных и соглашаетесь c политикой конфиденциальности
Узнать подробнее
Заполните поля ниже и наш администратор перезвонит в течение 5 минут, чтобы ответить на интересующие вас вопросы о вариантах оплаты лечения.
Нажимая на кнопку, вы даете согласие на обработку персональных данных и соглашаетесь c политикой конфиденциальности
Записаться на приём
Заполните поля ниже и наш администратор перезвонит в течение 5 минут, чтобы ответить на интересующие вас вопросы и помочь записаться на приём.
Нажимая на кнопку, вы даете согласие на обработку персональных данных и соглашаетесь c политикой конфиденциальности
Made on
Tilda